Should we Lighten up About "White Lung"?

Image

There has been a new medical buzzword floating around the internet – white lung syndrome – following a spike in cases in Ohio. While this can sound intimidating, local experts are urging patients not to be alarmed as this buzzword is typically used to describe pneumonia.

Dr. Jeannie Kenkare, Chief Medical Officer of PhysicianOne Urgent Care took some time to explain what “white lung syndrome" is and what to do if patients start developing prolonged symptoms.

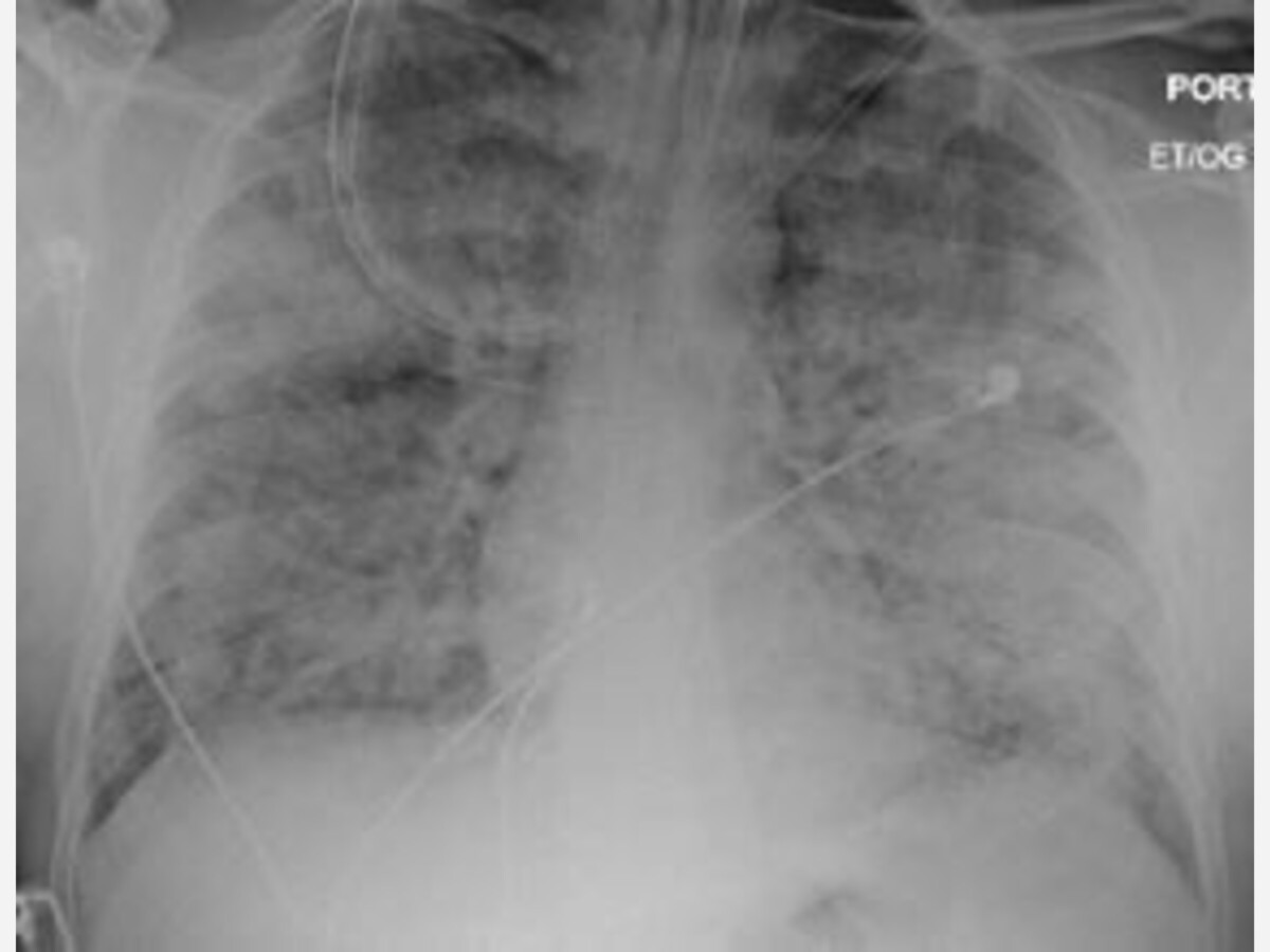
"First and foremost, patients should know that the term “white lung syndrome” is not a medical term. Some people have started to use this term to describe pneumonia such as those cases which have been described recently in Ohio. The term “white lung” comes from the visual description of what we see on x-rays in cases of pneumonia. The lung appears white in the affected areas on x-ray, instead of black. This description would apply to any case of pneumonia, and is no cause for alarm," said Kenkare.

"During this time of the year, we do see an increase in respiratory infections including flu, COVID, RSV, the common cold and others – including some that can develop into pneumonia which is an infection of the lungs and the lower airways. If you or someone in your family has “cold” symptoms that seem prolonged, are getting worse or not getting better, a fever that returns after a period of being fever free, any shortness of breath or chest discomfort it’s important to seek medical care with your PCP or at your local urgent care," Kenkare concluded.

Physician One Urgent Care is located at 648 Old West Central Street.

I'm interested
I disagree with this
This is unverified
Spam
Offensive